
틀니 다시 해야 한다면 그냥 다시 만들기 전에 확인해야 할 것
치과 상담을 하다 보면
틀니를 오래 사용하다가 다시 만들어야 하는 상황이 생기는 경우가 생각보다 많습니다.
대한치과보철학회 자료를 보면
우리나라에서 틀니를 사용하는 분들이 약 640만 명 정도라고 합니다.
생각보다 많은 분들이 틀니를 사용하고 있는 셈입니다.

출처 : 한경닷컴(2024.10.06)
보통 치아가 여러 개 빠지게 되면
전체 틀니나 부분 틀니를 사용하게 됩니다.
특히 부분 틀니는
남아 있는 치아에 걸어서 사용하는 방식이라
초기에는 비교적 안정감이 있는 편입니다.

하지만 시간이 지나면서
틀니를 걸고 있던 치아가 약해지거나
추가 발치가 필요한 상황이 생기기도 합니다.
이번에 상담을 진행했던
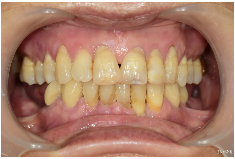
70대 여성 환자분도 비슷한 상황이었습니다.

촬영일 : 250825
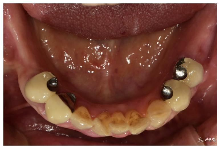
아래쪽에 부분 틀니를 사용하고 있었는데
앞니와 작은 어금니 몇 개만 남아 있는 상태였습니다.
문제는 틀니를 지탱하던 앞니의 상태였습니다.
검사를 해보니
치아 상태가 좋지 않아 발치를 고려해야 하는 상황이었습니다.
틀니를 다시 만들면 해결될까요?
많은 분들이 이런 경우
“틀니만 새로 만들면 되는 것 아닌가요?”
라고 생각하십니다.

촬영일 : 250825
하지만 현실적으로 한 가지 문제가 있습니다.
틀니는 건강보험 적용이 가능하지만
보험 적용은 7년에 한 번만 가능합니다.
이미 보험 틀니를 사용한 경우라면
다시 틀니를 만들 때 비보험으로 제작해야 하거나
보험 적용 기간을 기다려야 하는 상황이 생길 수 있습니다.

촬영일 : 250815
게다가 환자분은 기존 틀니도
착용감이 좋지 않다고 말씀하셨습니다.
그래서 단순히 틀니를 다시 만드는 것이 아니라
다른 방법이 가능한지도 함께 확인하게 되었습니다.
틀니를 사용했다고 해서 계속 틀니만 해야 할까요?
틀니를 사용하고 있는 분들 중에는
앞으로도 계속 틀니만 사용해야 한다고 생각하는 경우가 많습니다.
하지만 반드시 그런 것은 아닙니다.
구강 상태에 따라서는
임플란트 치료가 가능한 경우도 있습니다.
다만 임플란트는
잇몸뼈 상태가 중요합니다.
치아가 빠진 상태로 오래 지내면
잇몸뼈가 줄어들어
임플란트가 어려운 경우도 있기 때문입니다.
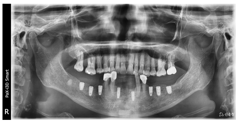
그래서 먼저 아래턱의 뼈 상태를 확인했습니다.

다행히 환자분은
임플란트를 진행할 수 있는 정도의
뼈 상태가 유지되어 있었습니다.
또한 만 65세 이상은
건강보험 임플란트가 평생 두 개까지 적용됩니다.
환자분도 해당 기준에 포함되어
보험 임플란트를 적용할 수 있는 상황이었습니다.
구강 상태와 경제적인 부분을 함께 고려해
임플란트 치료로 방향을 결정하게 되었습니다.
모든 치아를 뽑는 것이 정답은 아닙니다
치료 계획을 세우면서
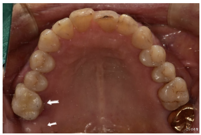
남아 있는 어금니의 상태도 확인했습니다.

촬영일 : 250825
겉으로 보기에는
두 치아 모두 발치가 필요해 보였지만
자세히 검사해 보니 상황이 조금 달랐습니다.

한 치아는 염증이 넓게 퍼져
발치가 더 안전한 상태였고
다른 치아는
신경치료를 통해 충분히 사용할 수 있는 상태였습니다.
그래서 두 치아를 모두 발치하는 대신
한 치아는 발치
한 치아는 신경치료
이렇게 치료 방향을 나누었습니다.

치과 치료에서는
임플란트를 무조건 늘리는 것보다
살릴 수 있는 치아를 유지하는 것이 더 중요합니다.

촬영일 : 260130
틀니 대신 더 안정적인 사용이 가능해졌습니다
발치가 필요한 치아를 정리한 뒤
앞니와 어금니 부위에 임플란트를 식립했습니다.

촬영일 : 251126
임플란트는 잇몸뼈에
인공 치아 뿌리를 심는 치료입니다.
뼈와 단단히 붙는 과정을 거친 뒤
그 위에 치아 모양의 보철물이 연결됩니다.

촬영일 : 261030
환자분의 경우
틀니로 사용하던 부위를 중심으로
임플란트를 식립하면서
식사할 때 느끼던 불편함이
점차 줄어들었습니다.

촬영일 : 260130
지금은 틀니가 흔들리거나
헐거워지는 느낌 없이
보다 편안하게 식사를 할 수 있는 상태가 되었습니다.

틀니 사용 중이라면 한 번 확인해 보세요
틀니를 사용하고 있는 분들 중에는
불편함이 있어도
“원래 틀니는 그런 것”이라고 생각하고
그냥 참고 지내는 경우도 많습니다.
하지만 현재 구강 상태에 따라
- 틀니를 다시 제작하는 방법
- 임플란트를 병행하는 방법
- 남은 치아를 살리는 방법
등 여러 가지 치료 방향을
함께 고려해 볼 수 있습니다.